Sbiancamento Dentale
Sbiancamento dentale professionale
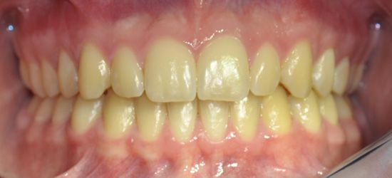
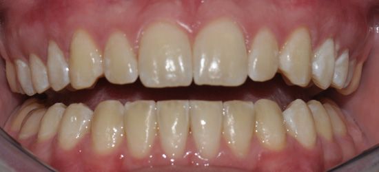
Oggi sempre di più viene richiesto un sorriso bianco e attraente. Col passare degli anni a causa di sostanze pigmentanti presenti in alcuni alimenti come caffè, te, coca cola, vino rosso o a causa dell’abitudine al fumo, i denti possono perdere luminosità, apparendo così più scuri e spenti. I pigmenti e le macchie possono essere di 2 tipi: superficiali e profonde. Quelle superficiali aderiscono alla superficie dello smalto e vengono rimosse con una igiene professionale (pulizia dentale). Ci sono però pigmenti che entrano dentro alla struttura cristallina dello smalto, su queste macchie profonde agisce lo sbiancamento dentale. Il perossido di carbamide è l’agente sbiancante più utilizzato, rilascia ossigeno attivo che disgrega le sostanze coloranti presenti tra i cristalli dello smalto. In questo modo il dente riacquista un colore più luminoso e naturale. Proprio qui bisogna fare chiarezza, più che sbiancamento bisognerebbe chiamarlo schiarimento poiché ogni persona e ogni dente ha un suo colore naturale oltre il quale non si può “sbiancare”.

