OPT
Panoramica dentale
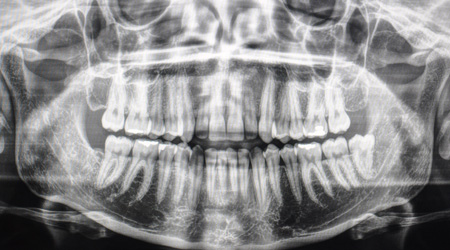
La panoramica dentale è un esame radiografico molto utilizzato in campo odontoiatrico in quanto permette di studiare sia l’arcata superiore che l’arata dentale inferiore. Il nome specifico della panoramica è Ortopantomografia, questa radiografia viene eseguita con un’apparecchiatura chiamata ortopantomografo.
A cosa serve l’ortopantomografia?

La panoramica serve per esegurire uno studio globale delle arcate dentale e delle ossa mascellari (mandibola e macellare superiore), inoltre serve per valutare anche l’articolazione temporo mandibolare.Le indicazioni principali alla panoramica sono:
- Diagnosi e Pianificazione del Trattamento
- Carie multiple
- Valutazione denti del giudizio
- Analisi granulomi o cistiAnalisi pre-ortodontica delle arcate
- Valutazione della dentizione nei soggetti in età di sviluppo
- Analisi dell’osso prima della terapia implantare
- Analisi denti inclusi
- Ricerca di una odontalgia misconosciuta
Oltre alla panoramica dentale eseguiamo anche altri esami radiografici dentali quali:
- Tac a basso dosaggio
- Teleradiografica Latero Laterale
- Lastre endroali
- Status Radiografico Endorale