Odontoiatria conservativa
È quella branca dell’odontoiatria che si occupa di restaurare i denti danneggiati da carie e fratture. È una cura fondamentale per la salute dei denti. Consiste nel rimuovere il tessuto cariato, che si presenta morbido e rammollito, e ricostruire la cavità presente con dei materiali appositi. A seconda della dimensione del danno è possibile distinguere due tipologie di ricostruzioni, quelle dirette , fatte direttamente nella bocca del paziente, e quelle indirette(intarsi), che prevedono la costruzione della parte mancante del dente in laboratorio.
Ricostruzione diretta
I due materiali più utilizzati sono il composito e l’amalgama. L’amalgama è un restauro metallico, di ottima resistenza e durata, che oggi per motivi estetici trova sempre meno indicazione.
I compositi sono delle resine riempite con particelle di silicio che le rendono altamente resistenti. Questi materiali sono oggi presenti in una grande varietà di sfumature di colore che le rendono ideali per riprodurre la naturalezza cromatica del dente. Il meccanismo con cui vengono legate al dente è tramite adesione chimica: l’adesivo dentinale permette di creare un fortissimo legame tra dente e composito, aumentando così la resistenza di denti molto deboli. Oltre a questo è possibile con questi materiali asportare la minor quantità di dente. Per questi motivi sono oggi i materiali più utilizzati per le ricostruzioni dirette.


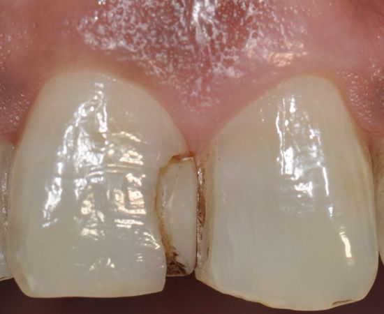
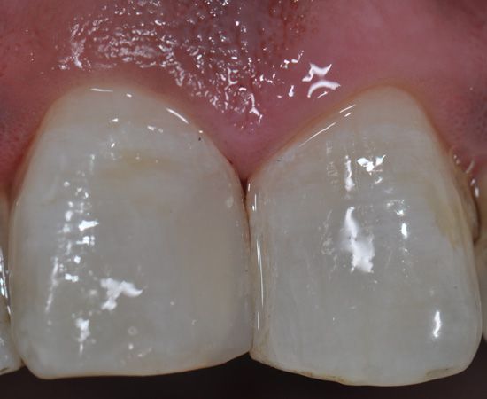
Qui di fianco è possibile vedere una ricostruzione estetica dell’incisivo prima e dopo la prestazione.
Ricostruzione indiretta
Quando la parte mancante del dente è molto estesa effettuare una ricostruzione diretta può non portare a buoni risultati. Il restauro si può distaccare in breve tempo e risulta difficilmente ottenibile una corretta forma del dente e punti di contatto. L’approccio tradizionale è quello di procedere alla devitalizzazione del dente al fine di costruire successivamente una corona (capsula). Una soluzione oggi disponibile è quella di effettuare un intarsio, ossia andare ad incollare la parte mancante del dente con potenti adesivi senza necessità di devitalizzare il dente e limandolo il meno possibile. Il risultato ottenibile è molto soddisfacente, sia dal punto di vista biologico sia dal punto di vista estetico. Biologicamente si ha il massimo risparmio di tessuto dentale e di vitalità del nervo, non si ha invasione dello spazio dei tessuti gengivali e si ha un facile accesso igienico al restauro, essendo il restauro tutto esterno alla gengiva. I materiali con cui si possono costruire gli intarsi sono la ceramica (disilicato di litio) ed il composito.

