Implantologia dentale
“Un giorno senza sorriso è un giorno perso” Charlie Chaplin
E tu, quanti giorni hai già perso? Più tempo passa e più è difficile risolvere i tuoi problemi!
Oggi con gli impianti dentali e tecniche di rigenerazione ossea sono possibili riabilitazioni orali straordinarie! Una chiamata non ti costa nulla, non perdere altro tempo: chiedici consiglio ora!
Che cos’è un impianto dentale?
L’impianto dentale è una vite in titanio che viene inserite nell’osso. Funge da radice artificiale sulla quale viene costruita una corona. Con l’impianto dentale si possono sostituire uno o più denti mancanti.
Non vuoi mettere la dentiera?

Abbandona la dentiera e passa ad una protesi totale fissa. Inseriamo nell’arcata dentale 4 o 6 impianti e su questi realizziamo una protesi totale fissa. Questa tecnica avanzata ci permette di restituire una masticazione ed una fonetica ottima senza tutti gli spiacevoli disagi delle protesi mobili.
Implantologia a carico immediato
In alcuni casi è possibile inserire l’impianto dentale e realizzare in giornata una protesi provvisoria, in questo modo in un giorno potrai tornare a sorridere! In sole 24 ore inseriamo l’impianto e realizziamo una corona sulla vite impiantare. In questo modo tornerai a sorridere in pochissimo tempo

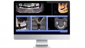
Implantologia radiologicamente guidata
Con i software presenti in studio e grazie alla Tac Cone beam possiamo fare delle attente valutazioni tridimensionali di come verrà inserito l’impianto dentale nell’arcata ossea. Questa attenta e accurata pianificazione ci permette di effettuare un intervento in massima sicurezza riducendo al minimo ogni possibile errore.
Addio alla paura con la sedazione cosciente!
Se hai molta ansia e paura dell’intervento, il nostro anestesista di fiducia effettuerà la sedazione cosciente e non ci saranno ansie e ricordi dell’intervento! Questo è molto utile per le persone che hanno molta ansia di affrontare la terapia impiantare.